
Can Veneers Get Cavities?
Veneers are a popular cosmetic dental solution that can transform your smile, providing a flawless and radiant appearance. However, a common question that arises among those considering veneers is: Can veneers get cavities? The short answer is “no.”
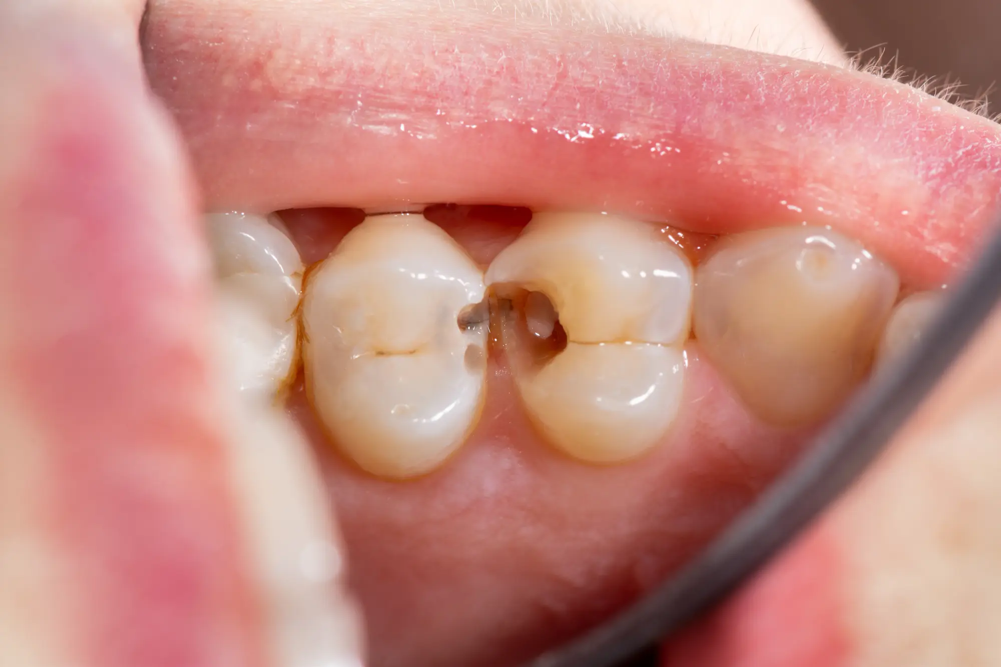
Veneers are made of porcelain or composite materials. Unlike natural enamel, they are not affected by the acid that causes cavities. However, since you still have lots of natural tooth structure underneath your veneers, the risk of cavities doesn't go away completely once you get veneers. In this blog, we will explore this topic in detail and provide you with the information you need to keep your smile healthy and beautiful.
Understanding Veneers
Veneers are thin, custom-made shells designed to cover the front surface of teeth, improving their appearance. They are typically made from porcelain or composite resin materials, known for their durability and natural look. While veneers themselves cannot develop cavities, the teeth underneath and around them can still be susceptible to decay. Here are a few key points to consider:
- Veneers act as a protective layer but do not replace the need for good oral hygiene.
- Proper care and regular dental check-ups are essential to prevent cavities in the teeth supporting the veneers.
The Role of Oral Hygiene
Maintaining excellent oral hygiene is paramount when you have veneers. Since it’s made of natural enamel, the area where the veneer meets the tooth will still be vulnerable to plaque buildup and decay. To ensure your veneers and underlying teeth remain in top condition, consider the following tips:
- Brush your teeth twice a day with an ADA-accepted fluoride toothpaste to strengthen your enamel.
- Floss daily to remove plaque and food particles from between your teeth.
- Visit your dentist every six months for cleanings and examinations.
Potential Risks and How to Avoid Them
While veneers are a safe and effective cosmetic solution, certain risks can arise if proper care is not taken. These include gum disease, tooth decay near the edges of the veneers, and damage to the veneers themselves. To minimize these risks:
- Maintain a healthy diet. Avoid excessive consumption of overly-processed, starchy, and sugary foods, as well as sugary and acidic beverages.
- Avoid using your teeth as tools. Don’t hold things between your teeth, or use them for things like opening packages or tearing tape.
- Do not chew non-food objects like pens, pencils, erasers, or anything else that could damage your veneers.
- Wear a mouthguard if you grind your teeth at night or if you play contact sports.
Consulting with Your Dentist
Before deciding on veneers, it's essential to consult with a qualified dentist like Dr. Asadi or Dr. Brownlee at Pieper Smiles. Our team can assess your oral health and determine if veneers are the right choice for you.
Not only that, but they will guide you through the process, discuss potential risks, and provide personalized advice for maintaining your veneers. Regular follow-up appointments at Pieper Smiles ensure that any issues are addressed promptly, preserving the longevity of your veneers and overall dental health.
Your Smile Awaits in Bulverde, TX
At Pieper Smiles, Dr. Micah Asadi and Dr. Karlee Brownlee are dedicated to helping you achieve the smile of your dreams while ensuring your oral health is in top shape. If you're considering veneers or have questions about maintaining them, don't hesitate to reach out to our Bulverde, TX office at (210)-201-8844 . Schedule your appointment today and take the first step towards a healthier, more radiant smile!

Ready to Start Smiling?
Let’s Get to Know Your Smile
Whether it’s been six months or six years since your last visit, we are ready to help you move forward without judgment. Step out of the clinical rush and into a practice where you are treated like a neighbor, not a number.










